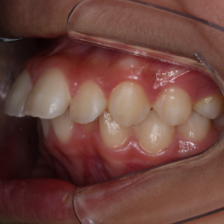
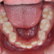
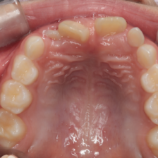
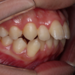
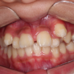
同じ装置を何年も使ってるけど、改善が感じられない
子どもが装置を付けるのを嫌がっている
長期間、通院ごとに費用が掛かって負担が大きい
同じ装置を何年も使ってるけど、改善が感じられない
子どもが装置を付けるのを嫌がっている
長期間、通院ごとに費用が掛かって負担が大きい
お子さまにとっても、親御さんにとっても、矯正治療は決して楽なものではありません。
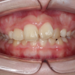
だからこそ、
短期間かつ低価格で。
だらだらと長期間治療をするのではなく、ベストなタイミングを見計らい、一気に治療を終わらせます。
歯科医師としてはもちろんのこと、同じ子を持つ親として、保護者様の視点に立った治療を心掛けています。



































