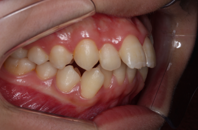
上顎前突(出っ歯)

上顎前突、いわゆる「出っ歯」は、上の前歯が前方に突出している状態を指します。
出っ歯があると、前歯がぶつかりやすく、歯や歯茎を傷めやすいことに加え、見た目の面でも気にされるお子さまが多いです。
出っ歯が放置されると、発音や噛み合わせ、さらには顎の成長にも影響を与える可能性があるほか、前に出た歯が衝撃を受けやすく、転んだときなどに前歯が折れたり欠けたりしやすいです。
上顎前突(出っ歯)の主な原因
上顎前突(出っ歯)の原因は、次のような要素が関係していることが多いです
顎の成長バランスの不均衡
下顎の成長に比べて上顎の成長が過剰であったり、逆に下顎が小さい場合、上の歯が前に突出しやすくなります。
指しゃぶりや舌癖
長期間の指しゃぶりや舌が前歯を押す癖があると、前歯が前方へ押し出されて開咬が発生することがあります。
遺伝的要因
家族に開咬が見られる場合、遺伝的に顎の成長や歯並びの問題が引き継がれることがあります。
推奨される治療開始時期
顎の成長が始まる6歳~9歳頃の矯正開始が推奨されます。
成長期に治療を始めると、顎の発達に合わせて矯正ができるため、特に6~9歳頃が治療開始に適していることが多いです。
これ以降、顎の成長が終わる前までに治療を行うことで、自然な成長に沿って歯並びや顎の位置を整えることができます。
3歳から5歳では経過観察とし、指しゃぶりなどの習癖がある場合は早期に改善指導を行います。/p>
上顎前突(出っ歯)の年代別の治療内容と使用する装置、治療期間の目安
3~5歳

この年齢では、上顎前突が目立ち始めていても、顎の成長に期待できるため、積極的な治療は行いません。
ただし、指しゃぶりや舌癖がある場合は、それが原因で出っ歯が悪化するのを防ぐため、早めの対応が重要です。
治療内容
指しゃぶりや舌癖、口呼吸などの習慣があれば、口腔筋機能のトレーニングを実施し、自然な発育を促します。
使用装置
必要に応じて、T4Kやプレオルソなどのトレーナー装置を使用し、習慣改善をサポートします。
治療期間の目安
数か月に一度の経過観察を継続し、成長の様子に合わせて適切な対応を取ります。
6~9歳

上下のあごの成長をコントロールするため、矯正装置で上下の顎の位置を調整します。
また、トレーナー装置で口腔習癖や舌の癖も改善します。
治療内容
拡大装置で上顎の幅を広げ、上顎前突(出っ歯)の改善を目指します。
また、口呼吸や舌癖の改善も並行して行い、口腔機能の向上を図ります。
使用装置
急速拡大装置
上顎を広げ、前歯の噛み合わせを調整します。
上顎けん引装置
顎の前方成長をサポートする装置です。
T4K、プレオルソ
口腔機能を整え、舌癖や口呼吸の改善をサポートします。
治療期間の目安
6か月~1年。成長の状況により治療期間を調整します。
10~12歳

この年齢では、成長がさらに進んでいるため、上顎と下顎の位置をしっかり整えるための治療が中心となります。
装置を使って歯の位置や顎の成長バランスを調整し、出っ歯の改善を図ります。
治療内容
急速拡大装置で上顎を広げ、舌の位置や筋肉バランスの改善も図りながら治療します。
使用装置
インビザライン・ファースト
透明のマウスピース型矯正装置で、取り外しが可能なため、生活に支障が少ないのが特徴です。
急速拡大装置
まだ成長が残っている場合には、顎の幅を広げるために用います。
ワイヤー矯正
歯を適切な位置に動かすために、ワイヤーで少しずつ矯正します。
治療期間の目安
1年~1年半。成長の進行に合わせて調整します。
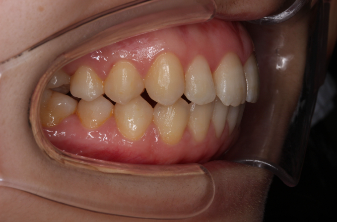
12~18歳

この時期は顎の成長がほぼ終わりに近づくため、上顎前突が残っている場合には、歯を動かして矯正する本格的な治療が必要です。
ブラケットやマウスピースで全体の歯並びを整えます。
治療内容
ワイヤー矯正やインビザラインで前歯を正しい位置に移動させ、上下の噛み合わせを改善します。
必要に応じて、口腔機能の改善にも取り組みます。
使用装置
治療期間の目安
1.5~3年。上顎前突(出っ歯)の程度や歯並びの状況により、期間が異なります。