「症例集」の記事一覧
-
-
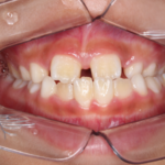
治療途中の矯正の症例
Before After 治療途中の小児矯正の症例です。あごの成長を利用しながら ...
-
-
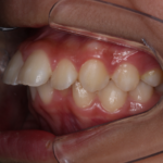
反対咬合(受け口)の症例
Before After 治療途中の小児矯正の症例です。 成長期に上顎の幅を広げ ...
-
-
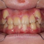
マウスピース矯正の症例
Before After マウスピース矯正の症例です。 主訴 歯の隙間 年齢 1 ...
-
-
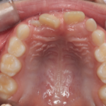
治療途中のマウスピース矯正の症例
Before After 治療途中の小児矯正の症例です。 主訴 噛み合わせ 年齢 ...
-
-
治療途中のマウスピース矯正の症例
Before After 治療途中の小児のマウスピース矯正の症例です。 主訴 噛 ...
-
-
治療途中のマウスピース矯正の症例
Before After 治療途中の小児矯正の症例です。 主訴 噛み合わせ 年齢 ...
-
-
治療途中の矯正の症例
Before After ワイヤー矯正で土台を整えたあと、 現在はマウスピース矯 ...
-
-
治療途中のマウスピース矯正の症例
Before After 治療途中のマウスピース矯正の症例です。 他院で4本歯を ...
-
-
治療途中のマウスピース矯正の症例
Before After マウスピース矯正の途中経過です。 主訴 歯の隙間 年齢 ...
-
-
マウスピース矯正の症例
Before After マウスピース矯正の症例です。 抜歯をせずに、マウスピー ...
