空隙歯列(すきっ歯)
空隙歯列、いわゆる「すきっ歯」は、歯と歯の間にすき間がある状態です。
お子さまの場合、特に乳歯列ではすき間があることが一般的で、このすき間があることで、将来生えてくる永久歯のためのスペースを確保できます。
しかし、このすき間が成長しても閉じず、永久歯にも多く残る場合、噛み合わせや見た目に影響することがあるため、早めに歯科医で診断を受けることが大切です。
空隙歯列が起こる主な原因
叢生は以下のような要因が重なって生じることが多く、日常生活での癖や遺伝的要因も影響します。
顎の大きさと歯の大きさのアンバランス
顎が大きく、歯が小さいと歯と歯の間にすき間ができやすくなります。
早期に乳歯が抜ける
虫歯や怪我で乳歯が早く抜けると、その部分のスペースが広がり、すきっ歯ができることがあります。
舌の癖
舌を歯の間に押し出す癖があると、歯が外側に押され、すき間が広がることがあります。
遺伝的要因
家族にすきっ歯が多い場合、遺伝によってお子さまも同じ特徴を持つことがあります。
推奨される治療開始時期
6歳~9歳頃
空隙歯列の治療開始時期は、お子さまの成長に応じて異なります。
3~5歳では自然な成長が続くため、特に治療は必要ありませんが、6~9歳頃になると、矯正治療を検討するのが良いタイミングです。
永久歯が生え揃う10~12歳以降では、本格的な治療が必要になる場合があります。
空隙歯列(すきっ歯)の年代別治療内容と使用装置、治療期間の目安
お子さまの年齢に応じて、空隙歯列(すきっ歯)の治療は異なります。
成長段階に合わせた適切なアプローチを行うことで、歯並びの改善だけでなく、顎や顔の自然な成長を促し、健康な口腔機能を育むことができます。
以下に年代別に治療内容と使用装置、治療期間の目安をご紹介します。
3~5歳
この年齢ではすきっ歯があるほうが望ましいとされています。
乳歯の間にすき間があることで、後に生えてくる永久歯が並ぶためのスペースが確保できます。
逆に、この年齢ですき間がなく歯がぴったりと並んでいると、将来的に歯がきちんと並ぶスペースが足りなくなる可能性があるため注意が必要です。
将来の治療の準備としての期間
顎の成長が進むまで待つことは、矯正治療をより効率的に行う準備期間とも言えます。
歯並びや顎の発達を観察しつつ、必要があればお子さまが無理なく行えるトレーニングを行い、自然な成長をサポートします。
6~9歳
この年代は、上顎の成長が活発で矯正治療を開始する最適な時期とされています。
上顎の幅を広げることで、将来の永久歯のためのスペースを確保します。
治療内容
顎の幅を広げるための拡大装置を使い、空隙歯列(すきっ歯)の改善を図ります。
また、成長段階に合わせて筋肉バランスや舌の位置の改善も目指します。
使用装置
急速拡大装置
上顎を広げる装置で、歯が並ぶスペースを確保します。
上顎けん引装置
顎の前方成長をサポートする装置です。
T4K、マイオブレイス、プレオルソ
口腔機能を整えながら、軽度の歯並び改善に使います。
治療期間の目安
6ヶ月~1年半程度。顎の成長を見ながら、装置の調整や変更を行います。
10~12歳
永久歯が生え揃う時期であり、顎の発育もほぼ完了に近づくため、より本格的な矯正治療に移行することが多くなります。
治療内容
歯並びを調整し、空隙歯列(すきっ歯)の改善を図ります。
この年代では、顎の幅を広げるための拡大装置やワイヤー矯正などが主に使われます。
使用装置
インビザライン・ファースト
透明のマウスピース型矯正装置で、取り外しが可能なため、生活に支障が少ないのが特徴です。
急速拡大装置
まだ成長が残っている場合には、顎の幅を広げるために用います。
ワイヤー矯正
歯を適切な位置に動かすために、ワイヤーで少しずつ矯正します。
治療期間の目安
1年~2年程度。成長の状況に合わせて、装置や治療計画を調整しながら進めます。
12~18歳
この年代では、永久歯の歯列が完成し、歯並びを整える最終的な仕上げを行います。
また、1期治療で顎の土台が整っていれば、歯を抜かずに矯正治療ができる可能性が高まります。
治療内容
歯を動かすことで最終的な歯並びを整え、噛み合わせを改善します。
また、後戻りを防ぐために保定装置も活用します。
使用装置
インビザライン
透明のマウスピースを使用し、矯正終了まで少しずつ歯並びを整えます。
ワイヤー矯正
歯並びが複雑な場合に、ワイヤー矯正でしっかりと歯を動かし、最適な位置に配置します。
治療期間の目安
1年半~3年程度。歯の動きや噛み合わせの調整を行いながら進めます。
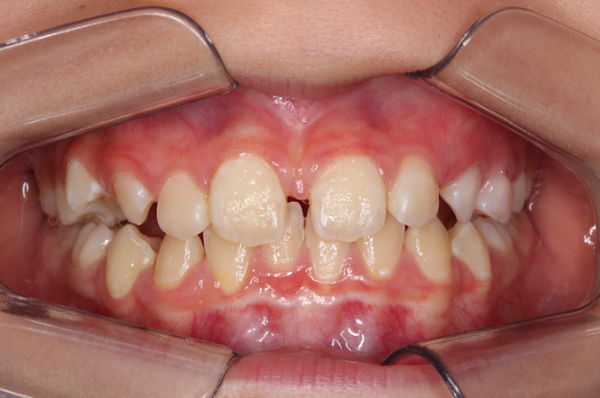
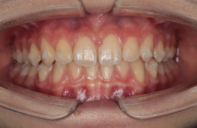
症例
Before |
After |
| 主訴 | 歯の隙間 |
| 年齢 | 11歳 女性 |
| 治療期間 | 1年8ヶ月> |
| 治療費 |
¥450,000(税別) |
| リスクと注意点 |
治療中は汚れが溜まりやすくなるので歯ブラシをしっかり行う必要があります。 |
※治療期間や費用は症状により異なります
Before
After