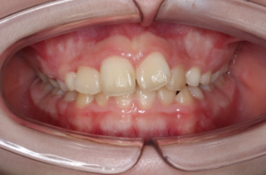
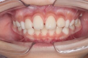
治療途中のマウスピース矯正の症例
Before |
After |
マウスピース矯正の途中経過です。
大人の歯が正しく並ぶためには、乳歯から永久歯への生え変わりを待ちながら進める必要があります。
噛み合わせの調整、あごの拡大、装置の取り外しや交換を組み合わせて治療を進めています。
成長や歯の動きを見ながらステップを踏んでいきます。
| 主訴 |
歯の隙間 |
| 年齢 |
8歳 男性 |
| 治療期間 |
6ヶ月(治療途中) |
| 治療費 |
¥450,000(税別) |
| リスクと注意点 |
治療中は汚れが溜まりやすくなるので歯ブラシをしっかり行う必要があります。 |
のびのび歯科・矯正歯科 :https://nobinobishika.com/
〒146-0095 東京都大田区多摩川1-33-24
電話:03-6715-2677
交通アクセス
電車でお越しの方:
矢口渡駅から徒歩3分
武蔵新田駅から徒歩7分
蓮沼駅から徒歩10分
池上駅から徒歩15分
蒲田駅から徒歩20分
Before
After